Profil
Cancer de l'oesophage : découverte des mécanismes impliqués
Cancer de l'oesophage : découverte des mécanismes impliqués
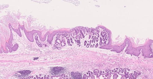
Dans une étude publiée dans le journal Cell Stem Cell, des chercheurs dirigés par Benjamin Beck, Chercheur qualifié FNRS et investigateur principal du #WELBIO à l’IRIBHM ULB - Université libre de Bruxelles, décrivent des mécanismes impliqués dans le changement des cellules de l’œsophage en cellules métaplasiques.
Des travaux auxquels a participé @Alizée Vercauteren Drubbel, financée par le Télévie. Alizée Vercauteren Drubbel et ses collègues ont combiné des outils de pointe en biologie moléculaire avec des modèles in vivo afin de disséquer les mécanismes régulant la transition d’un état cellulaire à un autre dans l’œsophage.
? https://www.rtl.be/info/video/778507.aspx
